Gezond gewricht vs artrotisch gewricht

Artrose bij paarden


Een veel voorkomende oorzaak van kreupelheid bij paarden is slijtage van een gewricht, deze slijtage noemen we artrose. Deze slijtage kan een volkomen natuurlijk proces zijn (in het verouderen) of kan een specifieke oorzaak hebben (overbelasting, afwijkende of ongunstige stand). Ook is niet elk gewricht met artrose pijnlijk en hoeft ook zeker niet elk gewricht met artrose behandeld te worden.


Gewrichten van het paard


Een gewricht is een beweegbare verbinding tussen twee of meerdere botten. Om het geheel stabiel en belastbaar te maken heeft een gewricht meestal meerdere banden en een kapsel die beide benige delen stevig aan elkaar verbindt. De benige delen in het gewricht zijn bekleed met een dunne laag kraakbeen, dit maakt dat beide delen soepel en gemakkelijk over elkaar glijden. Binnen in het kapsel van het gewricht zit gewrichtsvloeistof, de synovia, dit smeert het gewricht en levert de voedingstoffen voor het kraakbeen. Het kraakbeen wordt namelijk niet vanuit het onderliggende bot gevoed door middel van bloedvaatjes. Mede daarom kan een beschadiging in dit gewrichtskraakbeen nooit helemaal herstellen. Grote beschadigingen in het kraakbeen worden opgevuld met littekenweefsel.

Bij welke gewrichten ontstaat artrose?

In principe kan in elk gewricht in het lichaam artrose ontwikkelen. Natuurlijk zijn er wel een aantal gewrichten waar we vaker artrose in zien dan in andere gewrichten. In het voorbeen zien de meeste problemen met artrose in het hoef- en kogelgewricht. Daarnaast zien we ook regelmatig artrose van het kroongewricht en de voorknie. In het achterbeen zien we vaak artrose van de kogelgewrichten en de kniegewrichten.

Dat we juist in deze gewrichten vaak artrose zien heeft met meerdere factoren te maken. Het kogel- en hoefgewricht zijn gewrichten met een groot bewegingsbereik en een relatief klein draagvlak. Daarnaast is de belasting van beide gewrichten erg afhankelijk van de stand van de voeten.

Ontstaan van artrose

Artrose is een degeneratieve aandoening van het gewricht en dan met name het gewrichtskraakbeen. Degeneratief wil zeggen dat de kwaliteit van het kraakbeen langzaam afneemt en beschadigingen nooit volledig herstellen.

Vaak ontstaat artrose door normale slijtage en overbelasting, dit veroorzaakt kleine beschadigingen in het kraakbeen. Het gewrichtskraakbeen heeft echter een zeer beperkt herstel vermogen en heeft veel tijd nodig om te herstellen. Als reactie op een beschadiging zal er een (tijdelijke) ontstekingsreactie plaatsvinden om de schade te herstellen. Als de beschadigingen te groot zijn of het gewricht te weinig rust krijgt dan zal de ontstekingsreactie actief blijven. Bij die ontstekingsreactie komen ook stofjes vrij die het kraakbeen verder beschadigen. Ook wordt de gewrichtsvloeistof dunner en slechter van kwaliteit en de ontstekingsreactie veroorzaakt pijnklachten. Hierdoor is het risico op nieuwe of verdere beschadigingen groter dan normaal en zal de ontstekingsreactie niet tot rust komen.

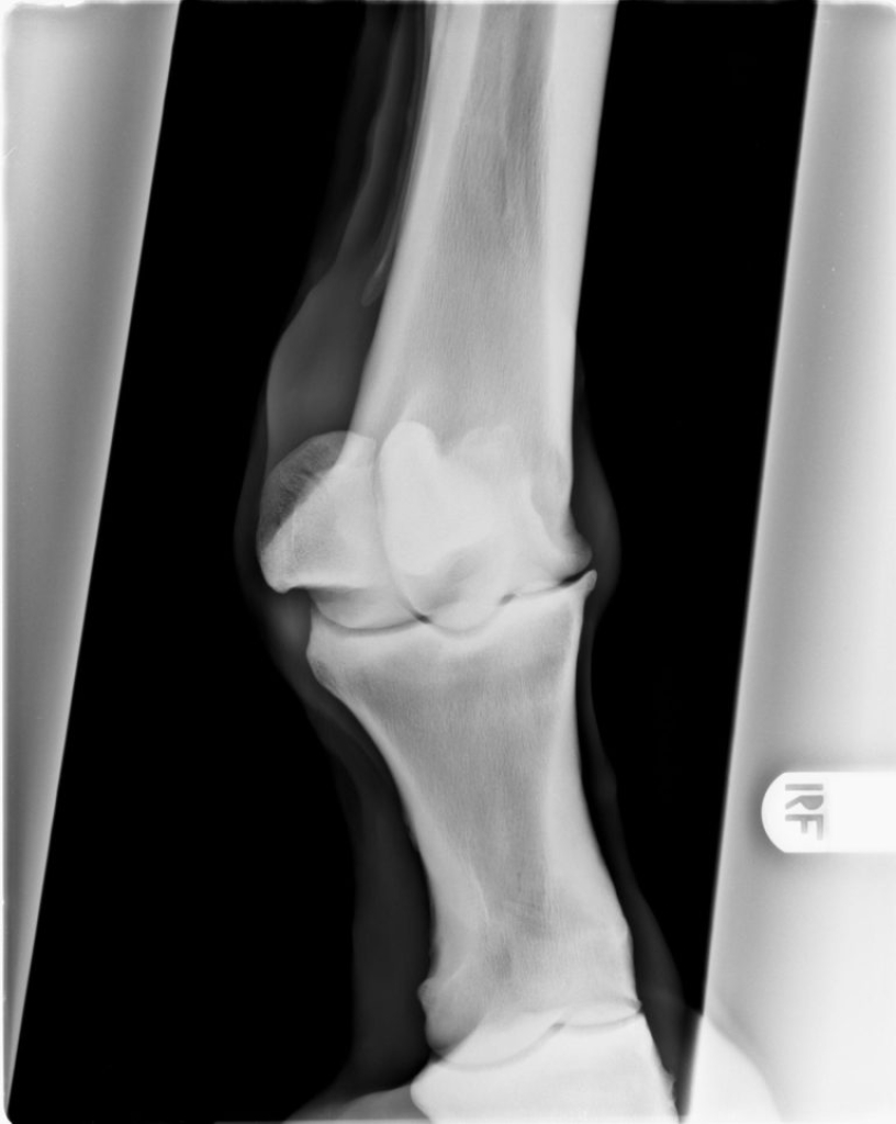
Door een kleine beschadiging kan uiteindelijk soort vicieuze cirkel ontstaan waarbij de kwaliteit van het kraakbeen langzaam aan steeds slechter wordt. Als gevolg van de schade aan het kraakbeen gaat ook het onderliggende bot reageren, het gaat aan de randen van het gewricht nieuw bot vormen. Dit is op een röntgenfoto goed zichtbaar als scherpe randjes of bot nieuwvormingen rond het gewricht. Het kraakbeen zelf is helaas niet in beeld te brengen met röntgenfoto’s, daarom is op een röntgenfoto in een heel vroeg stadium van artrose nog niks zichtbaar.

Kan ik zien of mijn paard artrose heeft?

Beginnende artrose is niet altijd te herkennen. In een heel vroeg stadium is op een röntgenfoto niets te zien. Daarnaast willen veranderingen op de röntgenfoto niet altijd zeggen dat het paard ook last heeft van de artrose.

In een heel vroeg stadium kan wel opvallen dat de gewrichten wat voller zijn. Vaak gaat dit echter vrij geleidelijk waardoor het niet erg opvalt. Bij een acute beschadiging of overbelasting van het gewricht kan het gewricht ineens flink opzwellen en warm worden. Soms kan het zelf zo heftig verlopen dat het hele been wat oploopt.  In deze situatie zijn paarden vaak ook flink kreupel.

Artrose kan leiden tot een kreupelheid maar dit hoeft niet altijd even duidelijk te zijn. Vaak kan het ook leiden tot ene wat stijvere gang. Soms kan het opvallen dat ze één been vaker op rust zetten of moeite hebben met het opgeven een been.

Diagnose van artrose

De diagnose van artrose is te stellen op basis van röntgenfoto’s. Op de röntgenfoto’s zien we bij artrose vaak veranderingen aan de randen van de gewrichten. Meestal ontstaan er scherpe randen rond het gewricht.

Dat we op een röntgenfoto tekenen van artrose zien betekent echter niet dat het paard daar last van heeft. Veel paarden hebben in lichte mate artrose van een of meerdere gewrichten. De enigste manier om aan te tonen of ze daar ook last van hebben is door het paard goed te onderzoeken. Daarbij kunnen we het gewricht verdoven om te zien of dit leidt tot een verbetering in het bewegen.

Röntgenopname van een gewricht met artrose
Uitvergroting van hetzelfde gewricht.

Behandeling

De permanente veranderingen aan het kraakbeen en het onderliggende bot kunnen we (nog) niet herstellen, er vindt wel veel onderzoek plaats naar kraakbeen implantaten en stamcellen. Maar helaas is er nog geen goede behandelmethode uitgevonden voor artrose. Wel zijn we in staat om de ontstekingsreactie die een belangrijke rol speelt bij artrose af te remmen. Hierdoor kunnen we de vicieuze cirkel doorbreken, de pijnklachten en kreupelheid verminderen en het risico op verdere beschadigingen verkleinen. Er zijn meerdere behandelmethodes die we toepassen op bij artrose, injecties met ontstekingsremmers, hyaluronzuur, IRAP, Polyacrylamide gel, stamcellen, etc.

Klaar voor de beste zorg voor jouw paard?

Maak direct een afspraak voor persoonlijk advies van onze specialisten.