Anatomie van de hals en de bursae subligamentosa

Halsproblemen: slijmbeursontsteking in de hals


In het voorgaande deel van de artikelen over halspoblemen draaide het om de nekband, het ligamentum Nuchae. In de hals van het paard bevinden zich echter ook 2 slijmbeurzen die geassocieerd worden met de nekband. De eerste slijmbeurs bevindt zich tussen de eerste halswervel en het stevige funiculaire deel van de nekband. Een tweede slijmbeurs, die niet bij alle paarden aanwezig is, bevindt zich ook onder het stevige funiculaire deel van de nekband maar dan boven de tweede halswervel. Een derde slijmbeurs die ook geassocieerd wordt met de nekband ligt net achter de hals over de doornuitsteeksels van de wervels van de schoft. Vooral bij de voorste twee slijmbeurzen zien we met enige regelmaat een slijmbeursontsteking voorkomen.


Foto: Anatomie van de hals en de bursae subligamentosa

Hoe ontstaan slijmbeursontstekingen in de hals?


In de praktijk komen wij met name problemen tegen met de slijmbeurs die zich boven de eerste halswervel bevindt.  Slijmbeursontstekingen kunnen door een infectie veroorzaakt worden (bijvoorbeeld na een steekwondje waarbij de slijmbeurs betrokken is), maar dit is meestal niet het geval. Wanneer er geen sprake is van een infectie spreken we van een ‘steriele’ slijmbeursontsteking. De oorzaak van deze steriele slijmbeursontstekingen is nog niet helemaal duidelijk. Waarschijnlijk moet de oorzaak gezocht worden in herhaaldelijk trauma of blesseren, met een chronische ontstekingsreactie als gevolg.


Hoe kan ik een slijmbeursontsteking van de bursa subligamentosa herkennen?


Paarden met een bursitis in de hals laten vaak stijfheid en pijnlijkheid van de hals zien. Ook zien we vaak de klacht “hoofdschudden” bij deze paarden. Mogelijk hebben de paarden ook een abnormale hoofd-hals houding als gevolg van deze pijnlijkheid, met aanleuningsproblemen als gevolg. Een slijmbeursontsteking is in heftigere gevallen uitwendig al zichtbaar, je ziet dan een zwelling boven de eerste twee halswervels (achter de oren), vaak ook asymmetrisch.

Foto: Zwelling van de slijmbeurs

Zwelling van de slijmbeurs

Problemen van de bursa subligamentosa diagnosticeren

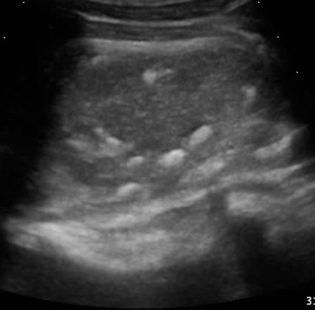
De klinische klachten van een paard met een slijmbeursontsteking in de hals tonen veel gelijkenis met mogelijke klachten bij andere halsproblemen. De zwelling boven de eerste twee halswervels is echter wel vrij typerend voor een bursitis van de bursa subligamentosa. De diagnose kan pas echt hard gemaakt worden aan de hand van een echo van het voorste gedeelte van de hals. Op de echo zal een ontstoken slijmbeurs duidelijk opgezwollen zijn ten opzichte van normaal. Ook kunnen röntgenopnamen vaak helpen, aangezien er vaak verkalkingen in de bursa te zien zijn.

Links: Overvulling en verkalkingen van de slijmbeurs van de nekband

Rechts: Echobeeld: slijmbeursontsteking met mineralisaties

Overvulling en verkalkingen van de slijmbeurs van de nekband
Echobeeld: slijmbeursontsteking met mineralisaties

Behandeling van een bursitis in de hals

Een slijmbeurs is gevuld met synovia, dezelfde smerende vloeistof die we ook in gewrichten vinden. Bij normale slijmbeurzen zijn deze zeer weinig gevuld en bijna niet zichtbaar. Net zoals bij gewrichtsproblemen is de slijmbeurs bij een slijmbeursontsteking echter overvuld met synovia als gevolg van de chronische irritatie. Vaak zijn er hierin ook mineralisaties (kalkdeeltjes) te zien. Een slijmbeursontsteking kan behandeld worden door het teveel aan synovia af te laten vloeien en de slijmbeurs in te spuiten met ontstekingsremmers. Helaas zien we in de praktijk met enige regelmaat dat de slijmbeursontsteking na verloop van tijd weer terugkomt. Als het inspuiten van de slijmbeurs met ontstekingsremmers onvoldoende werkt kan het een oplossing zijn om de slijmbeurs met een kijkoperatie uit te ruimen en op te schonen (of geheel te verwijderen).

Klaar voor de beste zorg voor jouw paard?

Maak direct een afspraak voor persoonlijk advies van onze specialisten.